歯科における禁煙支援

2019.09.03

f3J2cUAgcHRGyE4sUGHR8udHQm8FP9dE
さあ、鏡を見てください。あなたのお口の中はヤニなんか付いていないですよね?
P65ck6BEn6145rhAd20tvbtD8mvGAs5n
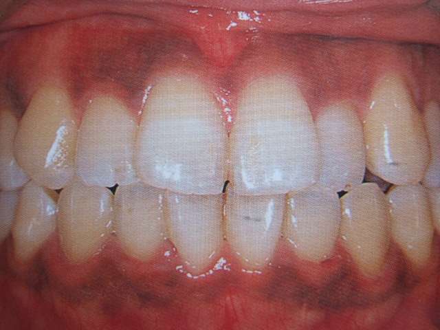
7歳の男の子です。お父さんの喫煙の影響が歯ぐきに出ています。

知っていますか?タバコの煙はあなただけでなく、周囲の人の健康にまで悪影響を与えていることを。

タバコには4000種類以上の化学物質が含まれ その内200種類以上は有害物質です。

喫煙の健康被害は約30年遅れて顕著になります。

喫煙習慣はニコチン依存症という精神的な病気なのです。

我々は歯科という立場から 喫煙における体、特に歯や歯ぐきへの影響を数回にわたって記述していきたいと思っています。

歯科における禁煙支援~全身への影響~

DD2n18WQeeS0wE4ghQC5CQwCsYDRqgnb

タバコ(喫煙)が与える全身への影響

喫煙によって全身に様々な悪影響があることは周知の事実です。


歯周疾患   歯周炎・口内炎・口臭

呼吸器系疾患 慢性閉塞性肺疾患・肺気腫・慢性気管支炎・喘息

循患環器系疾 心筋梗塞・狭心症・脳出血・脳梗塞・くも膜下出血・末梢循環不全

産婦人科疾患 周産期死亡・早産・先天性異常

消化器系疾患 胃、十二指腸潰瘍・逆流性食道炎

精神疾患   ニコチン依存症

代謝疾患   糖尿病・骨粗しょう症

免疫抵抗力  アレルギー性疾患・創傷治癒延滞

スポーツ   運動能力低下

美容     皮膚温低下・シワ増加


上記の疾患は喫煙の害のほんの一例です。その他にも数多くの悪影響を日々体に与え続けています。

次回はいよいよ喫煙が原因でおこる歯周疾患についてお話します。

歯科における禁煙支援~喫煙が原因でおこる歯周疾患~

eu7294crnqnFG17dj71nDuXiUKffj0Fq
A6j9NuveENXhjjWvwKFmgjAj4Evdsm00

喫煙が原因で以下のようの歯科疾患に罹るリスクが増えることが知られています。


・歯の早期喪失・歯周病・白板症・口腔癌・口臭症・ニコチン性口内炎

妊婦の喫煙による出生児の口唇・口蓋裂・味覚の減退・唾液性状の変化


■喫煙が与える歯への影響(非喫煙者との比較)

1.喫煙者は歯槽骨(歯の周りの骨)の吸収が大きくなり、その為歯周ポケットの深い部分が多い

2.歯周病に3倍以上かかりやすく、予後も劣る

3.歯を失う割合が高い

4.歯肉はメラニン色素の沈着による歯肉の黒変(上記写真)

5.口臭が強くなる

それではなぜ、喫煙によって歯周病が進むのでしょうか?次回は「喫煙によって歯周病が進む理由」をお話します。

歯科における禁煙支援~喫煙により歯周病が進む理由~

9eaBCa2c4jPvx1HAhAdgT7BFcF3yjVmc
長期喫煙者の歯肉(側面から)

今回は喫煙によって歯周病が進む理由についてお話します。


■喫煙によって歯周病が進む理由

・タールの付着で歯垢・歯石が付きやすくなる

・ニコチンが歯肉の血管を収縮させ 血流障害をおこす

・タバコの各種成分が白血球の活動を低下させ局所の炎症を強くする

・喫煙による活性酸素を除去する為、ビタミンCが消費され(タバコ2本で1日の必要ビタミンC量をを壊す)歯肉の細胞の働きがうまくいかなくなる

・唾液の減少


■喫煙者の歯周病の特徴

・歯肉の腫れが少ない

・ブラッシング時の出血が少ない


以上のように症状が出にくい為に重症化しやすく、歯周治療後効果も小さいのです

数回にわたって 歯科における禁煙の重要性をお話して来ました。

歯科における禁煙支援は歯科疾患の予防と歯科治療の効果の確保が目的です。

また、タバコの煙によって二次的被害を受ける周りの人の健康を害していることも決して忘れないでください

次回は最後になります。~あなたがタバコを咥えるときに考えてほしいこと~についてお話します。

歯科における禁煙支援~あなたがタバコを吸う時考えてほしい事~

D3ukwCwSBFeCJczD9awCAP8Cp7jcDZV1
EbaAYh7kSzeapYnXuhn5xthHgZthnF1B

5回にわたって、歯科における禁煙支援にについてお話しました。このように喫煙は様々な口腔疾患症状と関連し、歯科治療の効果にも悪影響を与えます。最終回はあなたがタバコを吸うときに考えてほしい事です。


・歯周病のリスクは1日の喫煙本数に比例して高まります。これは非喫煙者に比べて4倍以上にもなります

・タバコの有害物質の含有量は主流煙よりも副流煙のほうが約2~4倍以上多く含まれます

・タバコの煙は約7メートル先まで到達し、複数が同時に喫煙すれば その距離は2~3倍以上にもなります

・受動喫煙(喫煙者のそばにいるだけで喫煙したと同じ状態になること)でも歯周病・小児のう蝕・歯肉のメラニン色素沈着などの影響を受けます

・女性の喫煙は男性よりも依存の傾向が早く現れます

・軽い・重いにかかわらず、吸いかたによってニコチンの含有量は多くなります


自分のことだけでなく周囲の大切な人のためにも禁煙を考えてみてはいかがでしょうか。

渡辺歯科医院では 施設・敷地内全面禁煙とさせていただいています。ご協力よろしくお願いします。

dk8FhdhhBgh5C5YhpVv8MfYnktSh4rA3